The strategy for bivalvular interventions in aortic stenosis and concomitant mitral regurgitation
Abstract
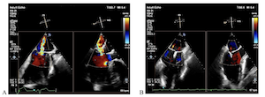
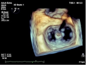
Multivalvular heart disease represents a less explored domain within cardiovascular surgery. In patients with aortic stenosis (AS) undergoing surgical or transcatheter aortic valve replacement (TAVR), the prevalence of moderate to severe mitral regurgitation (MR) ranges from 8% to 33%. Among the most common presentations are patients with severe AS and clinically significant functional MR. In instances of moderate surgical risk, open-heart surgery is typically performed, sometimes involving combined valve correction procedures. However, for patients deemed to be at high surgical risk or deemed inoperable, an interventional approach may be considered if the anatomy of both the aortic and mitral valves is conducive to such intervention. Careful analysis of each patient is essential in determining the appropriate treatment strategy, whether it involves isolated TAVR or if a staged intervention targeting the aortic and mitral valves is warranted. In the article, we present a review of the literature devoted to the strategy for bivalvular interventions in patients of high surgical risk and also a clinical case of a successful step-by-step interventional approach in an 83-year-old patient of high surgical risk with hemodynamically significant aortic and mitral valve disease, along with an analysis of the chosen approach.
Full text article
References
Vahanian, A., Beyersdorf, F., Praz, F.et al. (2022). 2021 ESC/EACTS Guidelines for the management of valvular heart disease [published correction appears in Eur Heart J. 2022 Feb 18;:]. Eur Heart J,43(7), 561-632. https://doi.org/10.1093/eurheartj/ehab395
Schulz, J.C., Amaral, F.B., Lima, P.F., Dreckmann, M.V., Tafner, E., Gardenghi, G. (2023). Percutaneous edge-to-edge mitral regurgitation valve repair after transcatheter aortic valve implantation. J Transcat Intervent, 31:eA20230013. https://doi.org/ 10.31160/JOTCI202331A20230013
Al-Hindwan, H.S.A., Landmesser, U., Stähli, B. et al.(2018). The predictive value of a modified Carpentier classification in patients with coincidental mitral regurgitation undergoing TAVI for severe aortic valve stenosis1. Clin Hemorheol Microcirc,70(1), 15-25. https://doi.org/10.3233/CH-189906
Alaour, B., Nakase, M., Pilgrim, T. (2024). Combined Significant Aortic Stenosis and Mitral Regurgitation: Challenges in Timing and Type of Intervention. Can J Cardiol, 40(2), 235-249. https://doi.org/10.1016/j.cjca.2023.11.003
Abdelghani, M., Abdel-Wahab, M., Hemetsberger, R. et al. (2019). Fate and long-term prognostic implications of mitral regurgitation in patients undergoing transcatheter aortic valve replacement. Int J Cardiol, 288, 39-43. https://doi.org/10.1016/j.ijcard.2019.03.048
Doldi, P.M., Steffen, J., Stolz, L. et al. (2023). Impact of mitral regurgitation aetiology on the outcomes of transcatheter aortic valve implantation. EuroIntervention, 19(6), 526-536. https://doi.org/10.4244/EIJ-D-22-01062
Otto, C.M., Nishimura, R.A., Bonow, R.O. et al. (2021). 2020 ACC/AHA Guideline for the Management of Patients With Valvular Heart Disease: Executive Summary: A Report of the American College of Cardiology/American Heart Association Joint Committee on Clinical Practice Guidelines [published correction appears in Circulation. 2021 Feb 2;143(5):e228] [published correction appears in Circulation. 2021 Mar 9;143(10):e784]. Circulation, 143(5), e35-e71. https://doi.org/10.1161/CIR.0000000000000932
Stähli, B.E., Reinthaler, M., Leistner, D.M., Landmesser, U., Lauten, A. (2018). Transcatheter Aortic Valve Replacement and Concomitant Mitral Regurgitation. Front Cardiovasc Med, 5,74. https://doi.org/10.3389/fcvm.2018.00074
Galloway, A.C., Grossi, E.A., Baumann, F.G. et al. (1992). Multiple valve operation for advanced valvular heart disease: results and risk factors in 513 patients [published correction appears in J Am Coll Cardiol 1992 Jun;19(7):1677-8]. J Am Coll Cardiol, 19(4), 725-732. https://doi.org/10.1016/0735-1097(92)90509-l
Barbanti, M., Webb, J.G., Hahn, R.T. et al. (2013). Impact of preoperative moderate/severe mitral regurgitation on 2-year outcome after transcatheter and surgical aortic valve replacement: insight from the Placement of Aortic Transcatheter Valve (PARTNER) Trial Cohort A. Circulation, 128(25), 2776-2784. https://doi.org/10.1161/CIRCULATIONAHA.113.003885
De Chiara, B., Moreo, A., De Marco, F. et al. (2011). Influence of CoreValve ReValving System implantation on mitral valve function: an echocardiographic study in selected patients. Catheter Cardiovasc Interv, 78(4), 638-644. https://doi.org/10.1002/ccd.23045
Chiche, O., Rodés-Cabau, J., Campelo-Parada, F. et al. (2019). Significant mitral regurgitation in patients undergoing TAVR: Mechanisms and imaging variables associated with improvement. Echocardiography, 36(4), 722-731. https://doi.org/10.1111/echo.14303
Mavromatis, K., Thourani, V.H., Stebbins, A. et al. (2017). Transcatheter Aortic Valve Replacement in Patients With Aortic Stenosis and Mitral Regurgitation. Ann Thorac Surg, 104(6), 1977-1985. https://doi.org/10.1016/j.athoracsur.2017.05.065
Shibayama, K., Mihara, H., Berdejo, J. et al. (2018). Association of postprocedural aortic regurgitation with mitral regurgitation worsened after transcatheter aortic valve replacement. Echocardiography, 35(3), 346-352. https://doi.org/10.1111/echo.13780
Khan, F., Okuno, T., Malebranche, D. et al. (2020). Transcatheter Aortic Valve Replacement in Patients With Multivalvular Heart Disease. JACC Cardiovasc Interv, 13(13), 1503-1514. https://doi.org/10.1016/j.jcin.2020.03.052
Unger, P., Dedobbeleer, C., Vanden Eynden, F., Lancellotti, P. (2013). Mitral regurgitation after transcatheter aortic valve replacement: does the prosthesis matter? Int J Cardiol, 168(2), 1706-1709. https://doi.org/10.1016/j.ijcard.2013.03.055
Clavel, M.A., Webb, J.G., Pibarot, P. et al. (2009). Comparison of the hemodynamic performance of percutaneous and surgical bioprostheses for the treatment of severe aortic stenosis. J Am Coll Cardiol, 53(20), 1883-1891. https://doi.org/10.1016/j.jacc.2009.01.060
Sannino, A., Losi, M.A., Schiattarella, G.G. et al. (2014). Meta-analysis of mortality outcomes and mitral regurgitation evolution in 4,839 patients having transcatheter aortic valve implantation for severe aortic stenosis. Am J Cardiol, 114(6), 875-882. https://doi.org/10.1016/j.amjcard.2014.06.022
Nombela-Franco, L., Eltchaninoff, H., Zahn, R. et al. (2015). Clinical impact and evolution of mitral regurgitation following transcatheter aortic valve replacement: a meta-analysis [published correction appears in Heart. 2016 May;102(9):728. D Onofrio, Augusto [corrected to D'Onofrio, Augusto]]. Heart, 101(17), 1395-1405. https://doi.org/10.1136/heartjnl-2014-307120
Feldt, K., De Palma, R., Bjursten, H. et al. (2019) Change in mitral regurgitation severity impacts survival after transcatheter aortic valve replacement. Int J Cardiol, 294, 32-36. https://doi.org/10.1016/j.ijcard.2019.07.075
Ben-Assa, E., Biner, S., Banai, S. et al. (2020). Clinical impact of post-procedural mitral regurgitation after transcatheter aortic valve replacement. Int J Cardiol, 299, 215-221. https://doi.org/10.1016/j.ijcard.2019.07.092
Takagi, H., Umemoto, T. (2015) All-Literature Investigation of Cardiovascular Evidence Group. Coexisting Mitral Regurgitation Impairs Survival After Transcatheter Aortic Valve Implantation. Ann Thorac Surg, 100(6), 2270-2276. https://doi.org/10.1016/j.athoracsur.2015.05.094
Cortés, C., Amat-Santos, I.J., Nombela-Franco, L. et al. (2016). Mitral Regurgitation After Transcatheter Aortic Valve Replacement: Prognosis, Imaging Predictors, and Potential Management. JACC Cardiovasc Interv, 9(15), 1603-1614. https://doi.org/10.1016/j.jcin.2016.05.025
Rudolph, V., Schirmer, J., Franzen, O. et al. (2013). Bivalvular transcatheter treatment of high-surgical-risk patients with coexisting severe aortic stenosis and significant mitral regurgitation. Int J Cardiol, 167(3), 716-720. https://doi.org/10.1016/j.ijcard.2012.03.060
Kische, S., D'Ancona, G., Paranskaya, L. et al. (2013). Staged total percutaneous treatment of aortic valve pathology and mitral regurgitation: institutional experience. Catheter Cardiovasc Interv, 82(4), E552-E563. https://doi.org/10.1002/ccd.24809
Elbadawi, A., Elgendy, I.Y., Afify, H. et al. (2021). Combined Transcatheter Aortic and Mitral Valve Interventions: Insights From a National Database. JACC Cardiovasc Interv, 14(13), 1505-1507. https://doi.org/10.1016/j.jcin.2021.03.047
Zahid, S., Khalouf, A., Hashem, A. et al. (2023). Safety and Feasibility of Staged Versus Concomitant Transcatheter Edge-to-Edge Mitral Valve Repair After Transcatheter Aortic Valve Implantation. Am J Cardiol, 192, 109-115. https://doi.org/10.1016/j.amjcard.2023.01.037
Kindya, B., Ouzan, E., Lerakis, S. et al. (2018). Degenerative mitral regurgitation predicts worse outcomes in patients undergoing transcatheter aortic valve replacement. Catheter Cardiovasc Interv, 92(3), 574-582. https://doi.org/10.1002/ccd.27607
Zamorano Gómez, J.L., Pardo Sanz, A. (2023). Mitral regurgitation improvement after TAVI: if well planned, two birds are killed with one stone. EuroIntervention, 19(6), 457-458. https://doi.org/10.4244/EIJ-E-23-00020
Tirado-Conte, G., McInerney, A., Jimenez-Quevedo, P. et al. (2021). Managing the patient undergoing transcatheter aortic valve replacement with ongoing mitral regurgitation. Expert Rev Cardiovasc Ther, 19(8), 711-723. https://doi.org/10.1080/14779072.2021.1955347
Authors
Copyright (c) 2024 Elena Golukhova, Inessa Slivneva, Karen Petrosyan, Magomedrasul Musaev, Yuliya Pirushkina, Mikhail Latyshev, Arslan Magammatov, Khadizha Patsoeva

This work is licensed under a Creative Commons Attribution 4.0 International License.
Copyright / Open Access Policy: This journal provides immediate free open access and is distributed under the terms and conditions of the Creative Commons Attribution License (CC BY). This is an open-access journal which means readers can access it freely. Readers may read, download, copy, distribute, print, search, or link to the full texts of the articles for any lawful purpose without seeking prior permission from the publisher or author. This is consistent with the Budapest Open Access Initiative (BOAI) definition of open access.
Article Details
How to Cite
Most read articles by the same author(s)
- Elena Golukhova, Inessa Slivneva, Elizaveta Demchenko, Karen Petrosyan, The Small Left Ventricle is an Important Predictor of Clinical Outcomes In Severe Aortic Stenosis , Journal of Heart Valve Disease Innovation: Vol. 30 No. 1 (2025)